BEHANDLUNGSSPEKTRUM

Ihre optimale Versorgung liegt uns am Herzen – Unser Praxisteam für Sie

Egal ob Prophylaxe, Zahnersatz oder Implantate – bei uns sind Sie in guten Händen!

Wir bieten in unserer Zahnarztpraxis das gesamte Behandlungsspektrum der modernen Zahnmedizin an. Durch Fort- und Weiterbildung in bestimmten Gebieten haben sich fachliche Tätigkeitsschwerpunkte herausgebildet, zu denen die Implantologie als besonders anspruchsvoller Fachbereich zählt.

Ästhetische Zahnmedizin

Mit ästhetischer Zahnmedizin zum strahlenden Lachen

Zähne sind ein sehr wichtiger Teil unseres Erscheinungsbildes. Ein gesundes, schönes Lächeln
macht attraktiv, signalisiert Gesundheit und Selbstbewusstsein. Kranke Zähne hingegen führen zu Beeinträchtigungen im täglichen Leben. Selbst wenn die Zähne gesund sind, entsprechen sie manchmal nicht den eigenen ästhetischen Ansprüchen.

Von Zahnaufhellung Ihrer Zahnfarbe bis zur Korrektur der Stellung oder der Form Ihrer Zähne bieten wir Ihnen zahlreiche schonende Behandlungsmöglichkeiten:

• Aufhellung Ihrer Zahnfarbe – auch Bleaching genannt
• Korrekturen des Zahnfleisches durch plastische Parodontalchirurgie
• Korrektur der Zahnform oder der Zahnstellung durch Kompositfüllungen oder Veneers
• metallfreie, vollkeramische Restaurationen

Implantate sind als Zahnersatz eine sichere, ästhetische und dauerhafte Alternative

Gesunde und schöne Zähne sind in unserer Gesellschaft mit Vitalität, Sympathie und Erfolg
verbunden. Implantate verschaffen Ihnen wieder ein strahlendes Lachen.

Dank der modernen Implantologie können fehlende Zähne so ersetzt werden, dass sie sich weder vom Aussehen noch in der Funktion vom Original unterscheiden.

Das Einsetzen eines Implantats ist ein Eingriff, der sehr sorgfältig und von kompetenter
Hand durchgeführt werden muss. Bestimmte Kriterien müssen erfüllt sein, damit ein Implantat sicher einheilt und ein Leben lang funktioniert.

Seit 1999 zählt die Implantologie zu unseren Tätigkeitsschwerpunkten.
Nach einer mehrjährigen intensiven Ausbildung erfolgte die Zertifizierung unserer Praxis durch die Deutsche Gesellschaft für Implantologie im Zahn-, Mund- und Kieferbereich e.V. (DGI) im Jahre 2004.

Der Nachweis vieler weiterführender Fortbildungen und die große Anzahl gesetzter Implantate führte 2006 zur Verleihung des „Tätigkeitsschwerpunktes Implantologie“ durch die DGI. Sie als Patient haben damit die Sicherheit, dass die Implantate fachkundig und genau eingesetzt werden.

Um mit größtmöglicher Sicherheit zu implantieren, arbeiten wir mit einem 3D-gestützten Navigationssystem. Der Kieferknochen wird mit Hilfe einer digitalen Tomographie exakt vermessen. Anhand der gewonnenen Daten wird eine spezielle Implantationsschablone hergestellt, welche die Größe und Tiefe der notwendigen Bohrungen exakt festlegt. Das ist das sicherste Verfahren Implantate zu setzen, mögliche Risiken werden auf ein Minimum reduziert.

Implantologie

Zahn-Implantat

Implantologie

Zahn-Implantat

Implantate sind als Zahnersatz eine sichere, ästhetische und dauerhafte Alternative

Gesunde und schöne Zähne sind in unserer Gesellschaft mit Vitalität, Sympathie und Erfolg
verbunden. Implantate verschaffen Ihnen wieder ein strahlendes Lachen.

Dank der modernen Implantologie können fehlende Zähne so ersetzt werden, dass sie sich weder vom Aussehen noch in der Funktion vom Original unterscheiden.

Das Einsetzen eines Implantats ist ein Eingriff, der sehr sorgfältig und von kompetenter
Hand durchgeführt werden muss. Bestimmte Kriterien müssen erfüllt sein, damit ein Implantat sicher einheilt und ein Leben lang funktioniert.

Seit 1999 zählt die Implantologie zu unseren Tätigkeitsschwerpunkten.
Nach einer mehrjährigen intensiven Ausbildung erfolgte die Zertifizierung unserer Praxis durch die Deutsche Gesellschaft für Implantologie im Zahn-, Mund- und Kieferbereich e.V. (DGI) im Jahre 2004.

Der Nachweis vieler weiterführender Fortbildungen und die große Anzahl gesetzter Implantate führte 2006 zur Verleihung des „Tätigkeitsschwerpunktes Implantologie“ durch die DGI. Sie als Patient haben damit die Sicherheit, dass die Implantate fachkundig und genau eingesetzt werden.

Um mit größtmöglicher Sicherheit zu implantieren, arbeiten wir mit einem 3D-gestützten Navigationssystem. Der Kieferknochen wird mit Hilfe einer digitalen Tomographie exakt vermessen. Anhand der gewonnenen Daten wird eine spezielle Implantationsschablone hergestellt, welche die Größe und Tiefe der notwendigen Bohrungen exakt festlegt. Das ist das sicherste Verfahren Implantate zu setzen, mögliche Risiken werden auf ein Minimum reduziert.

Zahnersatz

Zahnersatz

Moderne Materialien im Einsatz – biokompatibel, belastbar und ästhetisch

Füllungen, Brücken und Kronen sind im Idealfall über viele Jahre fester Bestandteil des Körpers. Aus diesem Grund ist es wichtig, dass das verwendete Dentalmaterial sehr gut verträglich ist, keine Reizungen oder allergische Reaktionen auslöst, extrem belastbar ist und den ästhetischen Anforderungen genügt. Ist die Schleimhaut beispielsweise gerötet, juckt und brennt, kann dies ein Symptom für eine Unverträglichkeit sein. Biokompatibler Zahnersatz kann hier helfen. Per Definition verhält sich bioverträglicher Zahnersatz neutral im Körper – die verwendeten Dentalmaterialien rufen keine allergischen oder sonstigen Reaktionen beim Patienten hervor.
In unserer Praxis arbeiten wir bereits seit unserer Gründung im Jahr 1997 komplett amalgamfrei unter Verwendung vollkeramischer Systeme. Vollkeramischer Zahnersatz besticht durch seine perfekte Ästhetik und ist optisch von echten Zähnen nicht zu unterscheiden. Selbstverständlich bietet er eine ausgezeichnete Stabilität, um den Kaukräften zu widerstehen und ist biokompatibel.

Abdruckfreier keramischer Zahnersatz mit Cerec 3D: präzise, komfortabel und schnell

Eine gute Nachricht für alle Patienten, die das Problem der Abdrucknahme beim Zahnarzt kennen und als unangenehm in Erinnerung haben: Durch die Möglichkeit des sogenannten intraoralen Scannens mit einer Mundkamera können wir Ihnen in den meisten Fällen die unangenehme Abformung mit Abdruckmasse ersparen. Die digitale Aufnahme der Zähne liefert präzise und verlässliche Werte. Die Passgenauigkeit ist mit manuell gefertigtem Zahnersatz vergleichbar gut bzw. sogar besser.

Abdruckfreier keramischer Zahnersatz mit Cerec 3D: präzise, komfortabel und schnell

Eine gute Nachricht für alle Patienten, die das Problem der Abdrucknahme beim Zahnarzt kennen und als unangenehm in Erinnerung haben: Durch die Möglichkeit des sogenannten intraoralen Scannens mit einer Mundkamera können wir Ihnen in den meisten Fällen die unangenehme Abformung mit Abdruckmasse ersparen. Die digitale Aufnahme der Zähne liefert präzise und verlässliche Werte. Die Passgenauigkeit ist mit manuell gefertigtem Zahnersatz vergleichbar gut bzw. sogar besser.

Vorteile der Cerec 3D-Technik auf einen Blick

  • Keine Abdrucknahme erforderlich
  • Anfertigung und Eingliederung des Zahnersatzes in nur einer Sitzung möglich
  • Keine langen Wartezeiten auf die Versorgung
  • Kein Provisorium erforderlich
  • Kein nachträgliches aufwendiges Einschleifen des fertigen Zahnersatzes
  • Sehr ästhetische Versorgung, da mit keramischen, zahnfarbenen Materialien gearbeitet wird
  • Kosten auf vergleichbarem Niveau mit herkömmlichen Verfahren
  • Überdurchschnittliche Haltbarkeit durch die Verwendung hochfester Keramiken

Zahnersatz mit Cerec 3D

Zahnersatz mit
Cerec 3D

Abdruckfreier keramischer Zahnersatz mit Cerec 3D: präzise, komfortabel und schnell

Eine gute Nachricht für alle Patienten, die das Problem der Abdrucknahme beim Zahnarzt kennen und als unangenehm in Erinnerung haben: Durch die Möglichkeit des sogenannten intraoralen Scannens mit einer Mundkamera können wir Ihnen in den meisten Fällen die unangenehme Abformung mit Abdruckmasse ersparen. Die digitale Aufnahme der Zähne liefert präzise und verlässliche Werte. Die Passgenauigkeit ist mit manuell gefertigtem Zahnersatz vergleichbar gut bzw. sogar besser.

Vorteile der Cerec 3D-Technik auf einen Blick

  • Keine Abdrucknahme erforderlich
  • Anfertigung und Eingliederung des Zahnersatzes in nur einer Sitzung möglich
  • Keine langen Wartezeiten auf die Versorgung
  • Kein Provisorium erforderlich
  • Kein nachträgliches aufwendiges Einschleifen des fertigen Zahnersatzes
  • Sehr ästhetische Versorgung, da mit keramischen, zahnfarbenen Materialien gearbeitet wird
  • Kosten auf vergleichbarem Niveau mit herkömmlichen Verfahren
  • Überdurchschnittliche Haltbarkeit durch die Verwendung hochfester Keramiken

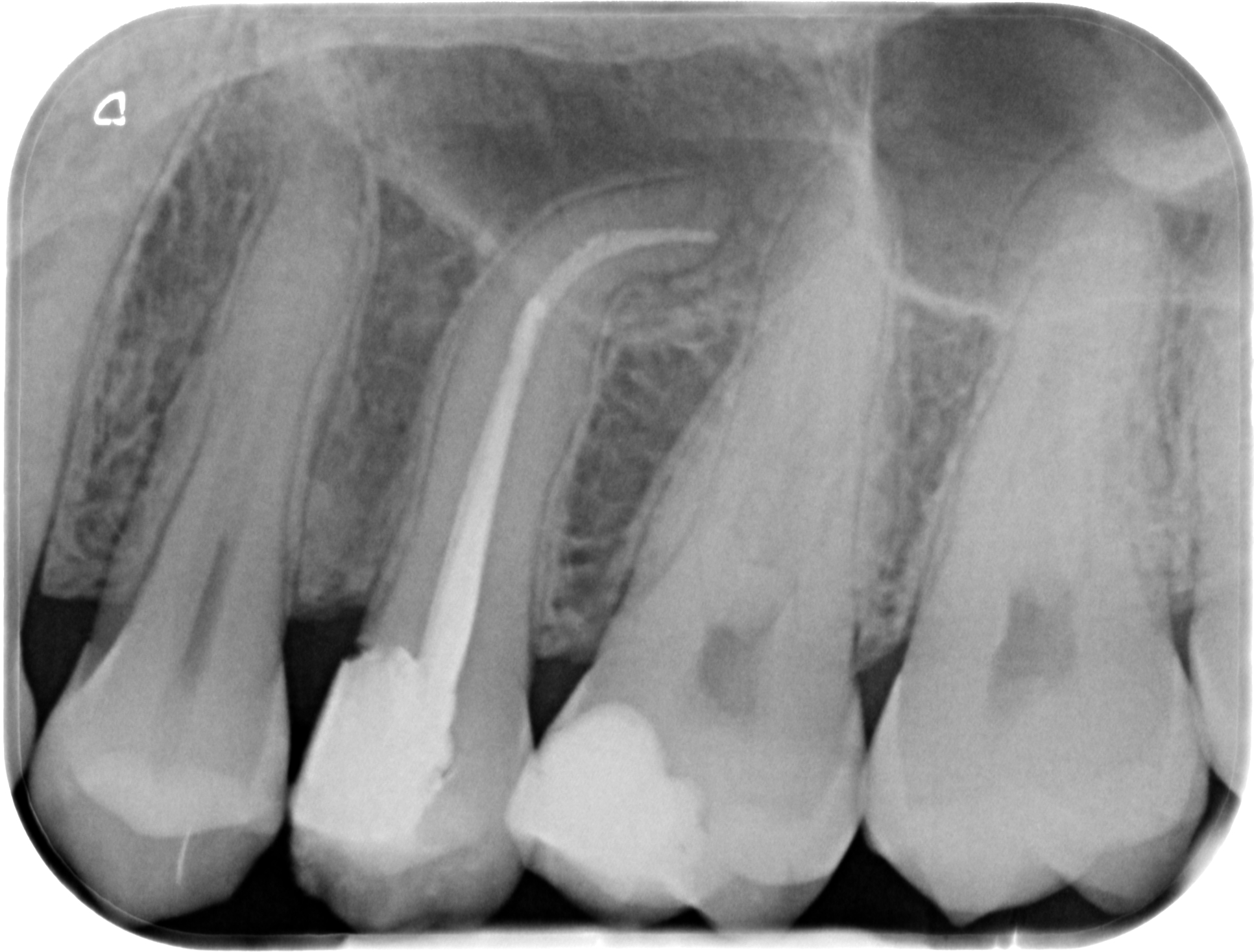
Wurzelkanalbehandlung

Die eigenen Zähne behalten und erhalten – das ist unser erstes Anliegen

Eine Wurzelbehandlung, auch endodontische Behandlung genannt, ist ein zahnärztlicher Eingriff, der darauf abzielt, einen erkrankten Zahn zu erhalten, indem die entzündeten Teile des Zahnnervs und des Zahnmarks entfernt werden. Diese Art der Behandlung ist notwendig, wenn der Zahnnerv (Pulpa) aufgrund von Karies, Verletzungen oder anderen Zahnproblemen irreversibel geschädigt ist.

Da die eigenen Zähne immer noch die besten sind, sollte die Erhaltung des Zahns an erster Stelle stehen, wann immer es möglich ist. Der entzündete Zahnnerv wird aus dem Wurzelkanal entfernt, dieser dann gereinigt und desinfiziert sowie anschließend hermetisch mit Wurzelfüllmaterial verschlossen. Danach wird der Zahn gefüllt und eventuell überkront. Durch die in unserer Praxis angewendete maschinelle Wurzelkanalaufbereitung mit kontinuierlicher elektronischer Längenmessung wird sichergestellt, dass der Wurzelkanal in seiner gesamten Länge bis zur Wurzelspitze gefüllt wird. Mit dem Einsatz dieser modernen Geräte ist unsere Behandlung noch gründlicher, gewissenhafter und wir minimieren das Risiko erneuter Entzündungen. Der zusätzliche Einsatz eines Lasers sorgt für eine besonders wirksame Eliminierung von Bakterien und Viren. So können auch weitere aufwendige chirurgische Maßnahmen wie beispielsweise eine Wurzelspitzenresektion vermieden werden.

Prophylaxe – Die Basis für gesunde Zähne

Prophylaxe ist – neben guter Mundhygiene – eine der wichtigsten Maßnahmen zur Gesunderhaltung des Zahnfleisches und der Zähne. Mit regelmäßiger professioneller Zahnreinigung und der richtigen Pflege bleiben Zähne bis ins hohe Alter erhalten, gesund und schön. Fehlt die Prophylaxe – werden also Zahnbelag und Zahnstein mit den darin enthaltenen Bakterien nicht regelmäßig entfernt – kommt es zu Karies, Zahnfleischentzündungen und Schädigung des Zahnhalteapparates bis hin zum
Zahnverlust. Der Konsum von Kaffee, Tee oder Zigaretten verursacht zudem dunkle Verfärbungen auf den Zähnen.

Bei der professionellen Zahnreinigung werden die Zähne und die Zahnzwischenräume mit
Spezialgeräten sorgfältig von Verfärbungen und gefährlichen Bakterien befreit. Die anschließende Politur und Behandlung mit einem Fluoridlack schützen die Zähne zusätzlich. Für uns ist es selbstverständlich, dass wir Ihnen im Zug der professionellen Zahnreinigung erklären, wie Sie Ihre Zähne weiterhin bestmöglich putzen. Sie erhalten von uns ein individuelles Pflegeprogramm mit Anleitung, wie Sie Ihre Zähne (auch Ihre Implantate) richtig reinigen und erhalten.

Wir empfehlen unseren Patienten mindestens zweimal jährlich eine professionelle Zahnreinigung, bei Risikopatienten mit besonderem Parodontitisrisiko auch häufiger. Das ist einzelfallabhängig – wir beraten und informieren Sie dazu entsprechend.

Prophylaxe

Prophylaxe

Prophylaxe – Die Basis für gesunde Zähne

Prophylaxe ist – neben guter Mundhygiene – eine der wichtigsten Maßnahmen zur Gesunderhaltung des Zahnfleisches und der Zähne. Mit regelmäßiger professioneller Zahnreinigung und der richtigen Pflege bleiben Zähne bis ins hohe Alter erhalten, gesund und schön. Fehlt die Prophylaxe – werden also Zahnbelag und Zahnstein mit den darin enthaltenen Bakterien nicht regelmäßig entfernt – kommt es zu Karies, Zahnfleischentzündungen und Schädigung des Zahnhalteapparates bis hin zum
Zahnverlust. Der Konsum von Kaffee, Tee oder Zigaretten verursacht zudem dunkle Verfärbungen auf den Zähnen.

Bei der professionellen Zahnreinigung werden die Zähne und die Zahnzwischenräume mit
Spezialgeräten sorgfältig von Verfärbungen und gefährlichen Bakterien befreit. Die anschließende Politur und Behandlung mit einem Fluoridlack schützen die Zähne zusätzlich. Für uns ist es selbstverständlich, dass wir Ihnen im Zug der professionellen Zahnreinigung erklären, wie Sie Ihre Zähne weiterhin bestmöglich putzen. Sie erhalten von uns ein individuelles Pflegeprogramm mit Anleitung, wie Sie Ihre Zähne (auch Ihre Implantate) richtig reinigen und erhalten.

Wir empfehlen unseren Patienten mindestens zweimal jährlich eine professionelle Zahnreinigung, bei Risikopatienten mit besonderem Parodontitisrisiko auch häufiger. Das ist einzelfallabhängig – wir beraten und informieren Sie dazu entsprechend.

Amalgamsanierung

Amalgamsanierung mit anschließender Quecksilberausleitung

Quecksilber ist giftig, und die langfristig belastenden Eigenschaften von Amalgamfüllungen in diesem Zusammenhang sind mittlerweile bekannt: Durch den Kauvorgang oder Kontakt mit Saurem oder Heißem kann sich giftiges Quecksilber aus der Amalgamfüllung lösen.
Müssen im Zuge einer Amalgamsanierung Füllungen entfernt werden, erfolgt dies mit besonderen Schutzvorrichtungen, die verhindern, dass freigesetzte Quecksilberdämpfe aufgenommen werden.

Vor dem Bohren werden die Zähne durch einen so genannten Kofferdam isoliert. Die durch das Bohren freiwerdenden Quecksilberdämpfe und Füllungspartikel werden auf diese Art gezielt abgesaugt. In unserer Praxis verwenden wir speziell entwickelte Bohrer, die eine minimale Erhitzung der Amalgamfüllung und damit eine nur geringe Freisetzung von Quecksilberdämpfen gewährleisten.

Die Verwendung einer Quecksilberabsorptionsmaske minimiert noch zusätzlich das Risiko,
Schadstoffe einzuatmen. Neben der professionellen Entfernung des Amalgams sollte parallel eine Quecksilberausleitung durchgeführt werden. Wir arbeiten hierzu mit speziell ausgebildeten Allgemeinärzten und Heilpraktikern zusammen, die bereits vor Behandlungsbeginn die genaue Vorgehensweise mit Ihnen besprechen und die alternativen Füllungsmaterialien auf ihre Verträglichkeit prüfen.

Unsichtbar. Komfortabel. Effektiv.

Schiefe Zähne oder kleinere Zahnlücken lassen sich heute ganz ohne klassische Zahnspange korrigieren – dank moderner Aligner-Technologie. In unserer Praxis bieten wir Ihnen maßgefertigte, transparente Zahnschienen, die Ihre Zähne Schritt für Schritt sanft in die gewünschte Position bringen.

Aligner sind nahezu unsichtbar, herausnehmbar und angenehm zu tragen – ideal für Erwachsene und Jugendliche, die Wert auf ein unauffälliges Erscheinungsbild legen. Ob für ästhetische Korrekturen oder zur funktionellen Verbesserung Ihres Bisses: Wir begleiten Sie individuell vom ersten Beratungsgespräch bis zum perfekten Ergebnis.

Ihre Vorteile auf einen Blick:

  • Transparente, diskrete Schienen

  • Schmerzarm und komfortabel

  • Herausnehmbar zum Essen und Zähneputzen

  • Individuell angepasst für präzise Ergebnisse

Zahnregulierung mit Alignern

Zahnregulierung mit Alignern

Unsichtbar. Komfortabel. Effektiv.

Schiefe Zähne oder kleinere Zahnlücken lassen sich heute ganz ohne klassische Zahnspange korrigieren – dank moderner Aligner-Technologie. In unserer Praxis bieten wir Ihnen maßgefertigte, transparente Zahnschienen, die Ihre Zähne Schritt für Schritt sanft in die gewünschte Position bringen.

Aligner sind nahezu unsichtbar, herausnehmbar und angenehm zu tragen – ideal für Erwachsene und Jugendliche, die Wert auf ein unauffälliges Erscheinungsbild legen. Ob für ästhetische Korrekturen oder zur funktionellen Verbesserung Ihres Bisses: Wir begleiten Sie individuell vom ersten Beratungsgespräch bis zum perfekten Ergebnis.

Ihre Vorteile auf einen Blick:

  • Transparente, diskrete Schienen

  • Schmerzarm und komfortabel

  • Herausnehmbar zum Essen und Zähneputzen

  • Individuell angepasst für präzise Ergebnisse

Laser

Laserzahnheilkunde – Der sanfte Weg zu gesunden und schönen Zähnen

In der modernen Zahnmedizin gewinnt die Behandlung mit dem Laser immer größere Bedeutung. Die Anwendung an Zähnen und Zahnfleisch sowie generell am Gewebe der Mundhöhle, ist schonend und geräuschlos. Sie kann zum Teil auch ohne Betäubung durchgeführt werden.

Bei Wurzelkanalbehandlungen sorgt der Einsatz des Lasers für eine besonders wirksame
Eliminierung der Bakterien. Das Risiko, trotz erfolgter Behandlung den Zahn zu verlieren wird
minimiert. Schmerzhafte chirurgische Therapien, wie beispielsweise die Wurzelspitzenresektion, können weitestgehend vermieden werden.

Der Einsatz bei Parodontitisbehandlungen ermöglicht die Desinfektion entzündeter
Zahnfleischtaschen. Gesunde Verhältnisse werden so schneller geschaffen, die Notwendigkeit für Mehrfachbehandlungen erübrigt sich in der Mehrzahl der Fälle.

Sie uns für ein kostenloses Beratungsgespräch oder vereinbaren Sie gleich einen Termin. Wir freuen uns darauf, Sie auf dem Weg zu Ihrem perfekten Lächeln zu begleiten!